
宫颈癌是常见的妇科肿瘤之一,其发病率居我国女性恶性肿瘤的第二位。针对复发/转移性宫颈癌,免疫治疗已成为诊疗探索的热点。从二线到一线,从单药到双药,免疫治疗正在革新宫颈癌的诊治模式。然而,并非所有患者都能从免疫治疗中获益,寻找新的生物标志物精准定位潜在获益人群至关重要。其次,免疫联合疗法尚在探索中,最佳的免疫联合方案及其适用时机等问题仍需进一步明确。
本期分享的是一例宫颈鳞癌IIB期病例。放疗后病灶完全消失,随访过程中肿瘤复发,37000vip威尼斯一号®大Panel检测发现患者TMB-H,提示其为免疫治疗优势人群。基于循证医学证据,患者接受卡度尼利单抗联合化疗方案,动态监测显示ctDNA清零,肿瘤控制较好,持续随访中。
专家简介
武雅琴 医生
江苏省肿瘤医院
副主任医师 医学博士
江苏省抗癌学会妇瘤专业委员会青年委员
研究方向为妇科恶性肿瘤的放射治疗
主持省级和国家级课题多项
多次获得江苏省妇幼健康新技术引进奖
以第一作者和共同第一作者发表SCI论文十余篇
病例概要
2021年6月
确诊宫颈鳞癌IIB期,根治性放疗+近距离治疗3次,病灶完全消失
基本信息:女,64岁,已婚。高血压,2018年脑梗病史,长期口服阿司匹林和辛伐他汀,个人史、家族史无特殊。生育史3-0-0-3。阴道不规则出血1月。2021-5-26,外院化疗一周期。2021-6-16,入我院。
妇科检查:外阴,已婚式;阴道,畅,后壁结节浸润,大小约5cm,肿瘤突出表面约1.5cm,下界距阴道口2cm;宫颈,结节,质硬,与阴道肿瘤相连;宫旁,两侧宫旁增厚,弹性可。
病理检查:阴道后壁鳞癌,宫颈高级别上皮内瘤变。
实验室肿瘤标志物检查:鳞癌抗原SCC,15.8ng/ml;糖类抗原CA199,39.9U/ml;癌胚抗原CEA,4.69ng/ml。
CT检查:宫颈见不均匀强化肿块影,约2.92*4.21cm,阴道后壁肿块约4.56*4.35cm,病灶与宫颈后唇分界不清。
图1. CT提示宫颈占位,见不均匀强化肿块影,约2.92*4.21cm,阴道后壁肿块约4.56*4.35cm,病灶与宫颈后唇分界不清。颈、胸部未见异常
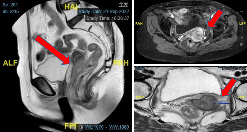
盆腔MRI检查:阴道后壁肿瘤约4.6*1.6*4.7cm,病灶与宫颈后唇分界不清,局部与直肠前壁分界不清。肿块最外缘距左侧盆壁约2cm,下缘距阴道外口约2.9cm,增强后明显强化。
图2. 盆腔MRI提示阴道后壁肿瘤约4.6*1.6*4.7cm,病灶与宫颈后唇分界不清,局部与直肠前壁分界不清
入院诊断:宫颈鳞癌IIB期。
治疗方案:2021-6-21,行根治性放疗,全阴道、宫颈、宫体及宫旁组织+盆腔淋巴结引流区,PCTV 46GY/25次。2021-7-21,行近距离治疗3次,HRCTV D90 18Gy/3次。因放疗反应重,患者放弃第4次近距离治疗。
疗效评估:
妇科检查:外阴,已婚式;阴道,畅,后壁未触及明显肿瘤;后壁上1/3粗糙宫颈,成形;宫体,中位,小;宫旁,两侧宫旁软,弹性可。
肿瘤标志物检查:鳞癌抗原SCC,3.53ng/ml;糖类抗原CA199,33.5U/ml;癌胚抗原CEA,2.32ng/ml。
盆腔MRI检查:阴道后壁肿瘤完全消失,宫颈后唇肿瘤完全消失。
图3. 盆腔MRI提示阴道后壁肿瘤消失,宫颈后唇肿瘤消失,内膜完整,宫颈管结构清晰
2022年4-9月
肿瘤复发,NGS检测提示TMB-H,卡度尼利单抗联合化疗治疗,ctDNA清零
定期复查:2022-4,患者出现放射性肠炎、肠道出血至外院灌肠治疗,复查 SCC 5.69ng/ml,后SCC进行性升高。2022-5-31,门诊检查发现阴道后壁结节,阴道活检病理示阴道鳞癌,II-III级,考虑阴道复发。患者拒绝治疗,自服中药。2022-9,阴道和下腹剧痛再次复诊。
PET-CT检查:阴道全程壁增厚,FDG代谢增高,病灶累及宫颈,与直肠及膀胱前壁分界不清,考虑肿瘤复发可能大,病灶侵犯直肠及膀胱可能。
图4. PET-CT提示阴道后壁肿瘤复发,SUV值高,病灶与直肠及膀胱前壁分界不清,考虑病灶侵犯直肠及膀胱可能,另有可疑转移灶
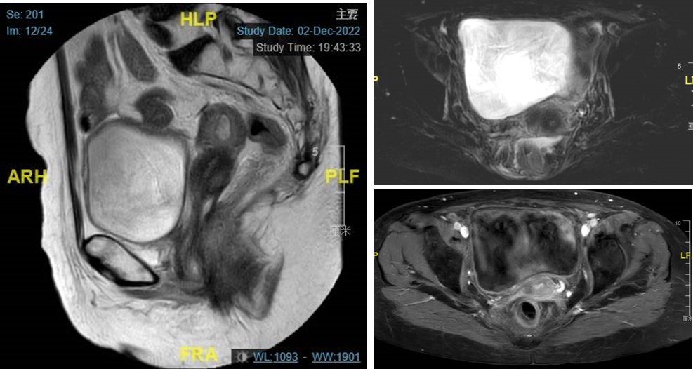
MRI检查:阴道后壁肿瘤变大,且与肛提肌分界欠清,考虑为引起下腹疼痛的原因。
图5. MRI提示阴道后壁肿瘤变大,且与肛提肌分界欠清
37000vip威尼斯一号®大Panel检测:
①靶向治疗层面:PIK3CA突变,组织突变丰度52.2%,血浆突变丰度1.5%,基于PIK3CA的用药推荐在宫颈癌级别较低(C或D级),靶向治疗暂不考虑。
图6. 组织及血浆均检出PIK3CA突变,组织突变丰度52.2%,血浆突变丰度1.5%
②免疫治疗层面:
MSI检测:微卫星稳定性MSS。
TMB检测:TMB-H,12.4 muts/Mb,提示患者为免疫治疗优势人群。
PD-L1表达:阳性,TPS≥1%(TPS=10%),CPS≥1(CPS=15)。
图7. 患者TMB-H,为免疫治疗优势人群
指南推荐:《中国临床肿瘤学会(CSCO)宫颈癌诊疗指南(2022)》推荐卡度尼利单抗作为复发/转移性宫颈癌二线免疫治疗首位方案。
图8. 《指南》推荐卡度尼利单抗作为复发/转移性宫颈癌二线免疫治疗首位方案
AK104-210临床研究:无论PD-L1 CPS状态如何,卡度尼利单抗联合铂类化疗±贝伐珠单抗均显示出良好的抗肿瘤活性。宫颈癌免疫治疗也因此从单药治疗时代进入双抗治疗时代[1]。
治疗方案:患者放疗后肠道反应较重,有肠道出血,放弃贝伐单抗,充分沟通考虑卡度尼利单抗联合化疗。(2022-9-28、10-14、11-05、12-01、2023-01-10、01-31、02-21行卡度尼利单抗375mg免疫治疗;2022-10-12、11-03、12-02、2023-01-11、02-01、02-21行紫杉醇210mgd1+顺铂50mgd1-2化疗。)
疗效评估:鳞癌抗原SCC自两次治疗后迅速下降,目前保持稳定。
图9. 鳞癌抗原SCC自两次治疗后迅速下降,目前保持稳定
MRI复查:2022-12-2,阴道后壁复发灶明显缩小,仅有微小残留,患者疼痛明显缓解。
图10. MRI复查提示阴道后壁复发灶明显缩小,仅有微小残留
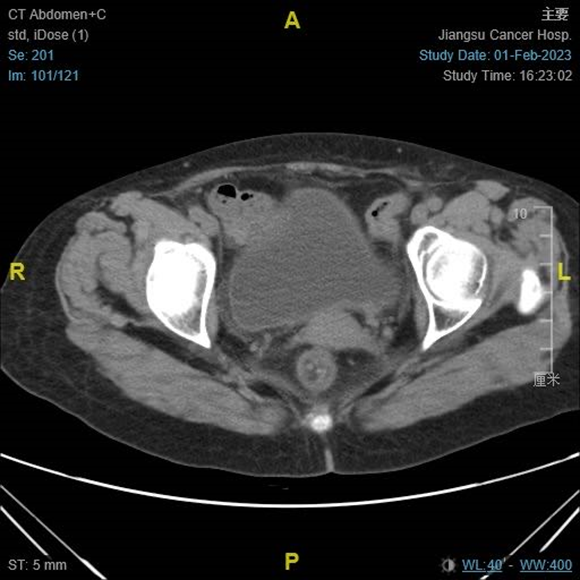
CT复查:2023-2-1,阴道后壁复发灶完全退缩。
图11. CT复查提示阴道后壁复发灶完全退缩
ctDNA动态监测:免疫治疗后,患者ctDNA清零,肿瘤控制较好,建议维持目前的治疗方案。
图12. 2023-01-16,血浆ctDNA阴性;2023-4-25,血浆ctDNA阴性
病例小结
规范性治疗对于早期宫颈癌而言,整体疗效不错,但对于局部晚期或复发/转移性宫颈癌,疗效仍较差。2018年6月,FDA批准帕博利珠单抗用于治疗化疗期间或之后疾病进展的复发/转移性宫颈癌,这一举措拉开了宫颈癌免疫治疗的序幕。2021年,基于KEYNOTE-826研究结果,免疫联合化疗被提升为一线治疗方案[2]。此外,抗PD-1单抗联合ADC以及PD-1/CTLA-4双免联合标准疗法作为一线治疗,也展现了良好的抗肿瘤活性。至此,宫颈癌免疫治疗从单免逐步进入双免/联合治疗时代。
该宫颈鳞癌IIB期患者,放射治疗后出现肿瘤复发,NGS检测全面揭示患者突变全貌,并提示其为免疫治疗优势人群。随后,患者接受免疫联合化疗方案,动态监测显示ctDNA清零,肿瘤控制较好。ctDNA动态监测有助于临床及时变更治疗方案,实现精准治疗获益最大化。
肿瘤免疫治疗在飞速发展,新靶点、新药物不断涌现,大量的临床试验也得以开展。期待未来能有更多积极的研究结果,为晚期、复发/转移性宫颈癌患者带来长期生存的希望。
新势例·精无止境
肿瘤分子诊断技术的快速进步使患者获得更长的生存期,为促进临床优秀病例分享和经验交流,37000vip威尼斯重磅推出“新势例·精无止境”病例分享专栏,优秀病例将陆续整理以供临床交流学习,也欢迎广大医生踊跃投稿。
参考文献
[1] WANG J, LOU H M, CAI H B, et al. A study of AK104 (an anti-PD1 and anti-CTLA4 bispecific antibody) combined with standard therapy for the first-line treatment of persistent, recurrent, or metastatic cervical cancer (R/M CC)[J]. J Clin Oncol, 2022, 40(16_suppl): 106.
[2] Monk B, et al. KEYNOTE-826: Final overall survival results from a randomized, double-blind, phase 3 study of pembrolizumab 1 chemotherapy vs placebo 1 chemotherapy for first-line treatment of persistent, recurrent, or metastatic cervical cancer. 2023 ASCO, abstract 5500.
作者:芋圆爆爆珠 审核:WFF 排版:Moro
相关阅读
新势例·第19期 | 37000vip威尼斯NGS指导ALK靶向辅助,PR后成功手术
新势例·第18期 | 多原发肺癌or肺内转移?37000vip威尼斯NGS助力肺部多发性病变鉴别诊断
新势例·第17期 | 持续获益超5年!37000vip威尼斯ctDNA动态监测为肺癌全周期治疗保驾护航
新势例·第16期 | ctDNA动态监测助力晚期NSCLC多线精准治疗
新势例·第15期 | IA期高危复发肺癌患者,37000vip威尼斯术宁™MRD动态监测保驾护航
新势例·第14期 | 晚期NSCLC胸水MET扩增:ctDNA动态指导靶向治疗持续获益超18个月
新势例·第13期 | 晚期肺腺癌三代TKI耐药后发现RET融合,双靶联用总PFS达59个月!
新势例·第12期 | BRCA基因突变指导胰腺癌含铂化疗,PFS超20个月,持续随访中!
新势例·第11期 | 37000vip威尼斯HRD评分指导含铂新辅助化疗,炎性乳腺癌获手术机会!
新势例·第10期 | RET融合·快速PR!脑脊液ctDNA指导肺癌脑膜转移精准治疗
新势例·第9期 | 肺鳞癌也有ALK融合,靶向治疗持续获益!
新势例·第8期 | ctDNA清零肿瘤完全消退,NGS指导晚期宫颈癌免疫治疗再添例证!
新势例·第7期 | 复发难治组织学转化B细胞淋巴瘤,三线治疗后完全缓解
新势例·第6期 | NGS联合ctDNA动态监测,助力ALK+ 大B细胞淋巴瘤完全代谢缓解
新势例·第5期 | 肺腺癌EGFR伴MET扩增,双靶联用助力患者持久缓解