
导语
上皮样恶性周围神经鞘肿瘤(EMPNST)是一种高度恶性且极为罕见的恶性周围神经鞘瘤(MPNST)变体,仅占所有MPNST变体的5%[1-4]。原发性的EMPNST,尤其是脊髓哑铃形肿瘤,在临床上非常罕见。MPNST主要由SMARCB1/INI-1基因的种系突变引起,但仅约50%-67%的EMPNST表现为SMARCB1/INI-1蛋白缺失[5]。因此,探究脊髓哑铃形EMPNST的遗传发病机制,对于肿瘤的鉴别诊断和精准治疗具有重要意义。
首都医科大学宣武医院神经外科陈赞教授、段婉茹教授团队,报道了一例罕见脊髓哑铃形EMPNST的病例。免疫组织化学显示SMARCB1/INI-1蛋白缺失,NGS检测发现患者及其父亲的SMARCB1/INI-1基因出现了一个新的种系突变(符合“二次打击”)。该病例报道进一步丰富了脊髓哑铃形上皮样MPNST的遗传学研究结果,并通过文献综述发现根治性切除术可以有效抑制远处转移并改善预后。相关研究成果于近日发表在Frontiers in Neurology(IF=4.086)[6]。
专家简介
陈赞 教授
首都医科大学宣武医院神经外科神经脊柱中心
主任医师、教授、博士生导师
中华医学会神经外科分会脊柱神经外科学组副组长
中华医师协会神经外科分会委员会脊柱神经外科学组专家委员
中国医疗保健国际交流促进会骨科疾病防治专业委员会脊柱内镜组副主委
北京康复医学会脊柱脊髓损伤第五届专业委员会副主委
AO国际脊柱外科学会讲师
世界神经外科联合会(WFNS)脊柱学组委员
国际颅颈交界区畸形和脊柱学会执行委员
主持科研课题10余项,参编著作多部,发表SCI论文10篇,核心期刊论文30篇,获得国家专利2项。
段婉茹 教授
首都医科大学宣武医院神经外科神经脊柱中心
副主任医师、副教授、硕士生导师
毕业于北京协和医学院临床医学八年制,获得临床医学博士学位。于宣武医院神经外科完成专科医师培训。曾于美国约翰霍普金斯大学医学院疼痛研究中心进行神经科学研究。
从事脊柱脊髓微创手术治疗,进行复杂颅颈交界区疾病和脊髓损伤神经调控相关基础研究,并长期负责神经脊柱中心的教学和培训工作。主持国家级、省部级和市局级课题6项,入选北京医管局青苗人才。
兼任中国女医师协会神经外科专委会常委兼秘书长,AO Spine青年讲师,北京卫生法学大数据与互联网人工智能医疗专业委员会委员,Human Brain杂志编委。太阳语罕见病心理关怀中心医疗康复顾问,中国志愿医生。
案例介绍
患者男,3岁,有3个月的右下肢行和右足底阵发性疼痛病史。1个月后,患者出现行走障碍,因疼痛导致精神状态下降,睡眠质量下降,开始寻求医疗帮助。
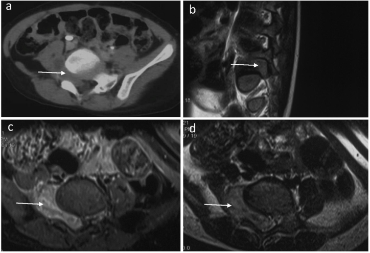
盆腔增强CT扫描显示右侧L5、S1椎间孔处有一密度不均的肿块 (图1a),提示可能为神经源性肿瘤神经鞘瘤。增强MRI显示L5、S1右侧椎间孔内长有肿块,连接椎管内外,T1等强,T2稍高信号(图1b-d)。肿块轻度强化不均匀,约为哑铃状,大小4.2 x 3 x 2.1cm肿瘤压迫脊髓向左侧,同时导致邻近骨和神经结构变形。
体格检查显示,患者智力和语言发育缓慢,双耳畸形,口腔两侧有手术疤痕。右下肢肌肉萎缩,左下肢肌力下降(4/5级),右下肢肌力下降(3/5级)。病理征阴性。
图 1. 术前骨盆计算机断层扫描(CT)
在显微镜下进行肿瘤根治性切除,并在L5和S1处植入双侧椎弓根螺钉。患者术后肌肉力量有所改善,可以独立行走,进一步接受全身化疗(长春新碱+环磷酰胺+阿霉素/异环磷酰胺+依托泊苷)和160cGy单次骨盆照射28天。术后1周和1年的随访CT(图2a,b)和MRI(图2c,d)结果显示,肿瘤没有明显复发。
图2. 术后1周和1年的随访CT(图2a,b)和MRI(图2c,d)
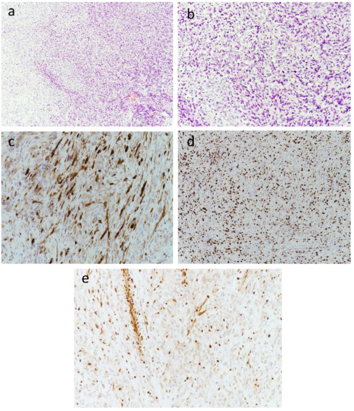
免疫组织化学检测,低倍功率视野中可见梭形细胞和多边形细胞的弥漫性生长(图3a)。在中等功率视野下,一些肿瘤细胞显示出清晰的细胞质和上皮样结构。大多数标本是恶性肿瘤,具有活跃的局灶性生长和有丝分裂图像(图3b)。同时显示,S100蛋白呈散发阳性(图3c),SMARCB1/INI-1完全缺失(图3e)。
图3. 免疫组织化学检测
对患者及其父母的血液样本进行基因检测。在患者及其父亲的标本中,首次发现22号染色体q11.21-q11.23区域种系杂合性缺失(~3.018Mb)。术后,对患者肿瘤样本进行NGS检测,在SMARCB1基因的5号外显子中检测到移码突变[c.606del(p.D202Efs*7)],符合“二次打击”( 第一次打击是SMARCB1等位基因的种系突变,随后是体细胞的第二次打击)。
文献回顾
研究者在公共数据库中进行了文献回顾检索。文献中包含了6项与脊髓哑铃形EMPNST相关研究,共13个病例,这些患者的年龄范围从2岁到71岁不等。在12名已知治疗方式的脊髓哑铃形EMPNST患者中,11名接受了手术和化疗。2名接受部分切除的患者,手术后均出现转移,而在5名接受根治性切除术的患者中,有1名未出现远处转移,预后良好。这表明根治性切除术可以有效抑制远处转移并改善预后。
表1. 脊髓哑铃形EMPNST的病例及其临床结果总结
结语
恶性周围神经鞘肿瘤(MPNST)是一种罕见的高级别神经源性肿瘤,发病率约为0.001%。本案例报道的脊髓哑铃形肿瘤属于上皮样恶性周围神经鞘肿瘤(EMPNST),它是MPNST的一种变体,在既往报道中极为罕见。通过NGS检测,研究者首次发现EMPNST中SMARCB1基因的新型种系突变,并证实患者所携带的该突变遗传自其父亲。这也表明,在罕见病理亚型的诊疗中,NGS可以帮助探究遗传发病机制。研究者进一步通过文献综述发现,对于脊髓哑铃形EMPNST患者而言,根治性切除术可以有效抑制远处转移并改善预后。
参考文献
[1] Carter JM, O’Hara C, Dundas G, Gilchrist D, Collins MS, Eaton K, et al. Epithelioid malignant peripheral nerve sheath tumor arising in a schwannoma, in a patient with “neuroblastoma-like” schwannomatosis and a novel germline smarcb1 mutation. Am J Surg Pathol. (2012) 36:154–60.
[2] Jo VY, Fletcher CD. Epithelioid malignant peripheral nerve sheath tumor: clinicopathologic analysis of 63 cases. Am J Surg Pathol. (2015)39:673–82.
[3] McMenamin ME, Fletcher CD. Expanding the spectrum of malignant change in schwannomas: epithelioid malignant change, epithelioid malignant peripheral nerve sheath tumor, and epithelioid angiosarcoma: a study of 17 cases. Am J Surg Pathol. (2001) 25:13–25.
[4] Smith MJ, Walker JA, Shen Y, Stemmer-Rachamimov A, Gusella JF, Plotkin SR. Expression of smarcb1 (ini1) mutations in familial schwannomatosis. Hum Mol Genet. (2012) 21:5239–45.
[5] Mansouri S, Suppiah S, Mamatjan Y, Paganini I, Liu JC, Karimi S, et al. Epigenomic, genomic, and transcriptomic landscape of schwannomatosis. Acta Neuropathol. (2021) 141:101–16.
[6] Qi, Maoyang et al. “A sporadic pediatric case of a spinal dumbbell-shaped epithelioid malignant peripheral nerve sheath tumor with a novel germline mutation in SMARCB1: a case report and review of the literature.” Frontiers in neurology vol. 14 1178651. 25 May. 2023.
作者:昱 审核:豆子 排版:Moro
相关阅读
案例报道 | NGS指导肺肝样腺癌围术期管理,MRD持续阴性超12个月