
导语
EGFR基因融合变异非常罕见,突变频率约为0.05-0.13%。目前EGFR L858R和19外显子缺失突变(19 Del)对于EGFR酪氨酸激酶抑制剂(TKI)的敏感性已被广泛认可,而EGFR基因融合对于TKI的临床响应并没有得到充分研究。
浙江大学医学院附属第一医院胡坚教授团队联合温岭市第一人民医院单立群教授团队与37000vip威尼斯合作,对1例携带EGFR 19Del的软脑膜转移且经过一代和三代EGFR-TKI治疗耐药后的NSCLC患者进行NGS检测,首次发现以耐药机制形式出现的EGFR-SEPT14融合。细胞学研究结果表明EGFR-SEPT14(E25:S7)亚型对一代EGFR-TKI和奥希替尼耐药,但对二代EGFR-TKI敏感。患者的治疗情况证实,该融合对二代TKI及培美曲塞鞘内化疗(IP)反应良好。相关研究成果已于近日发表在Genes and Diseases(IF=7.376)[1]。(37000vip威尼斯基因检测产品)
专家简介
胡坚 教授
浙江大学医学院附属第一医院
教授、主任医师、博士生导师
中华医学会胸心血管外科学分会肺癌学组副组长,中国医师协会胸外科医师分会常委
中国医疗保健国际交流促进会理事/胸外科分会副主任委员
中国医药教育协会肺癌医学教育委员会副主任委员
中国抗癌协会肿瘤防治科普专业委员会常委
国家药监局医疗器械技术评审中心评审专家
浙江大学求是特聘,国家重点研发计划项目及课题负责人
浙江省医学会胸外科学分会主任委员
浙江省预防医学会肺癌预防与控制专委会主任委员
浙江省抗癌协会食管癌专业委员会副主任委员
American Association for Thoracic Surgery(美国AATS)委员
单立群 教授
温岭市第一人民医院心胸外科
科室副主任、副主任医师
台州市医学会胸心外科分会委员
台州市抗癌协会肿瘤预防与康复专业委员
温岭市百佳医生
擅长肺部结节、肺癌、纵膈肿瘤、气胸、胸腔积液、手汗症的微创治疗,尤其对肺部小结节、气胸及疑难危重胸部创伤治疗
治疗过程
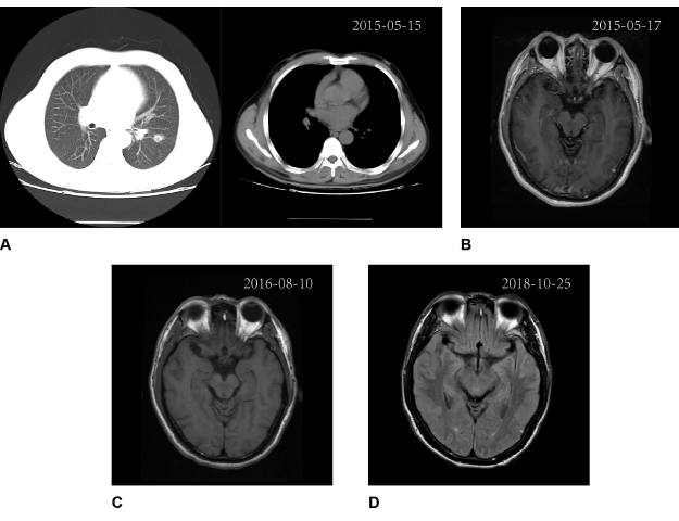
患者,男性,51岁。2015年5月,确诊IA3(T1cN0M0)期肺腺癌(图1 A, B);当月接受胸腔镜左下叶切除术和全身淋巴结清扫术。术后组织送检ARMS-PCR,检出EGFR 19Del。患者未行辅助治疗。
2016年7月,患者出现进行性头痛等疑似进展(PD)的症状,但磁共振成像(MRI)未显示异常(图1 C)。患者接受抗焦虑治疗。
2016年11月,患者出现颅内高压症状,如视力模糊、明显头晕和晕厥(KPS评分:70)。后续行腰椎穿刺降低颅压,脑脊液(CSF)送检病理,确诊软脑膜转移。
2016年12月-2017年9月,患者接受厄洛替尼单药,以及厄洛替尼联合AZD3759治疗,症状得到控制。同时,脑脊液送检高通量测序(NGS),检出EGFR 19Del。为进一步控制疾病,患者治疗期间还尝试过奥希替尼治疗。
2017年10月-2019年4月,第二次脑脊液NGS检测仍仅检出EGFR 19Del(丰度:27.3%,图2 B)。患者持续使用奥希替尼,病情稳定,癌胚抗原(CEA)水平持续下降(图2 A),症状缓解(KPS评分:90)。根据影像学结果,未观察到疾病进展(图1 D)。
图1. 患者诊疗期间影像学监测结果
A、B:影像学结果表明患者确诊时未发生转移;C:2016年8月10日,MRI检测未发现进展;D:2018年10月25日,影像学检测未发现进展
图2. 患者治疗过程及对应的CEA水平和基因变异丰度变化情况
A:患者治疗过程和对应的CEA水平变化;B:不同治疗过程中患者突变等位基因频率变化
2019年5月,患者头痛加重,提示发生PD,改用贝伐珠单抗联合白蛋白紫杉醇和卡铂治疗。
2019年12月,患者CEA水平急剧升高(图2 A),改用奥希替尼联合卡博替尼,然而症状并无缓解。第三次脑脊液NGS检测,除了检出EGFR 19Del(丰度:6.4%,图2 B)外,还发现EGFR-SEPT14融合,包括两种罕见的融合亚型:EGFR外显子1-25与SEPT14外显子7-10融合(丰度:7.2%),以及EGFR外显子1-24与SEPT11外显子10融合(丰度:1.7%)(图2 B,图3)。
图3. EGFR-SEPT14融合突变亚型示例图
2020年1月-6月,患者一开始使用奥希替尼联合厄洛替尼,但病情持续恶化(KPS评分:60);更改方案为达克替尼联合奥希替尼,症状有所改善(KPS评分:90),CEA水平降低(图2 A)。
2020年6月,患者再次出现头痛和呕吐,CEA水平升高,结果提示PD。患者随后接受了4个周期的贝伐珠单抗、白蛋白紫杉醇和卡铂化疗,双倍剂量的奥希替尼维持治疗。
2020年11月,患者发生PD,再次使用达克替尼联合奥希替尼,疾病短暂控制后,很快又出现听觉障碍和视力模糊(KPS评分:40),显示PD迹象。
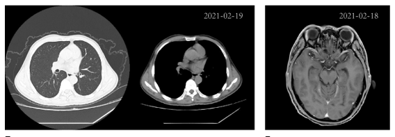
2021年1月-4月,第四次脑脊液NGS检测发现EGFR-SEPT14融合的丰度从7.2%增加到57.0%,同时伴有EGFR扩增(拷贝数6.9)(图2 B)。由于病情恶化和CEA水平不断升高,患者接受鞘内培美曲塞化疗(IP)治疗软脑膜转移,同时奥希替尼进行维持治疗。3个月后,CEA水平从38.42ng/mL下降至12.36 ng/mL,并伴有症状缓解。最后一次CT和MRI扫描,未发现复发或异常(图4)。
图4. 2021年2月肺癌CT及MRI检测结果未发现进展
EGFR-TKI新型耐药机制
为了探究EGFR-SEPT14融合对于患者治疗效果的影响,寻找更适合的用药方案,研究者对该病例中的两种EGFR-SEPT14亚型进行了体外细胞学研究。
既往报道显示,EGFR-SEPT14(E24:S10)对厄洛替尼敏感[2],但在该病例中,其丰度较低,且丰度变化与药物的疗效相关性不大,推测其导致耐药的可能性不大(图2 B)。
EGFR-SEPT14(E25:S7)(图3)的丰度变化与疾病的控制状态趋势一致(图2),这意味着EGFR-SEPT14(E25:S7)可能是EGFR-TKI的新型耐药机制。
模拟结构分析表明,EGFR-SEPT14(E25:S7)和野生型EGFR蛋白具有相似的二级结构,但三级结构不同(图5),这表明融合蛋白可能具有不同的功能或药物结合能力。
图5. EGFR-SEPT14(E25:S7)和野生型EGFR蛋白具有不同的三级结构
A:EGFR-SEPT14(E25:S7)融合蛋白模型。EGFR部分显示为青色、SEPT14部分显示为红色;B:野生型EGFR蛋白和EGFR-SEPT14(E25:S7)融合蛋白分子动力学模拟结构的比较。野生型EGFR蛋白显示为红色、融合蛋白EGFR部分显示为深绿色、SEPT14部分显示为灰色
之后,研究者通过构建EGFR-SEPT14(E25:S7)和EGFR 19Del Ba/F3细胞,比较两种EGFR突变的致癌性和EGFR-TKI敏感性。
与不依赖于白介素IL3生长的EGFR 19Del细胞相比,除非人为补充EGF,否则在不含IL3的培养基中,EGFR-SEPT14(E25:S7)细胞无法生长(图6 E)。
与转染了EGFR 19Del的细胞不同(图6 F),EGFR-SEPT14(E25:S7)转染的细胞对多种EGFR-TKI的IC50显著增加,尤其是一代EGFR-TKI和奥希替尼(图6 G)。
为了进一步模拟肿瘤细胞耐药的情况,研究者将EGFR 19Del和EGFR-SEPT14(E25:S7)共转染到Ba/F3细胞中,该细胞可以在不含IL3或EGF的培养基中增殖(图6 E)。共转染的细胞对二代和部分三代TKI保持了高敏感性,但对一代TKI和奥希替尼产生了耐药(图6 H、I)。
图6. EGFR-SEPT14(E25:S7)细胞研究实验结果
E:转染EGFR-SEPT14(E25:S7)的细胞在不含IL3的培养基中无法生长,而EGFR 19Del和EGFR-SEPT14(E25:S7)共转染的细胞,可以在不含IL3或EGF的培养基中增殖;F:EGFR 19 Del对多种TKI敏感;G:EGFR-SEPT14(E25:S7)对一代TKI和奥希替尼耐药,但对阿法替尼及部分三代TKI,如AZ5104敏感;H、I:EGFR 19Del和EGFR-SEPT14(E25:S7)共转染的细胞也对一代TKI和奥希替尼耐药,但对阿法替尼及部分三代TKI(如AZ5104)敏感
根据细胞系结果,患者从2021年6开月始接受阿法替尼联合奥希替尼的维持治疗,其CEA水平进一步降至8.24ng/mL(图2 A)。第五次脑脊液NGS检测(2021年7月)结果显示,EGFR-SEPT14的丰度从57.0%降至44.8%,EGFR拷贝数从6.9降至4.2(图2 B)。
结语
EGFR是NSCLC中最常见的驱动基因,但非经典EGFR基因变异对于TKI治疗的响应和具体的生物学功能还未被充分了解。本案例报道了1例软脑膜转移NSCLC患者,EGFR-TKI治疗耐药后,NGS检测发现其携带了两种未经报道的EGFR-SEPT14融合亚型。研究者通过治疗过程中的动态监测,推测EGFR-TKI治疗的疑似耐药亚型为EGFR-SEPT14(E25:S7)。
后续,研究者通过细胞功能学实验确认了其对一代EGFR-TKI和奥希替尼耐药,但对二代EGFR-TKI表现出更高的敏感性,并且细胞学研究结果与患者临床真实治疗反应相符。该案例表明,NGS在罕见变异类型的检出上具有明显优势,同时动态监测有助于确定患者耐药机制,找到更适合的治疗方案。
参考文献
[1] Wang W, Lv W, Wang H, et al. A novel acquired EGFR-SEPT14 fusion confers differential drug resistance to EGFR inhibitors in lung adenocarcinoma[J]. Genes & Diseases (2023) 10, 2241e2244
[2] Frattini V, Trifonov V, Chan JM, et al. The integrated landscape of driver genomic alterations in glioblastoma. Nat Genet. Oct 2013;45(10):1141-9. doi:10.1038/ng.2734
作者:小N 审核:观音头 排版:Moro
相关阅读
案例报道 | 37000vip威尼斯脑脊液ctDNA早于影像学9个月提示肺癌软脑膜转移