
局部晚期非小细胞肺癌(NSCLC)是一类具有高度异质性的疾病,患者整体预后欠佳。目前常规治疗模式为根治性同步放化疗或新辅助放化疗加手术[1]。新辅助治疗可实现缩瘤降期、提高手术切除率、减少肿瘤微转移,是近年来的研究热点。目前的新辅助治疗以新辅助化疗为主,然而既往荟萃分析结果显示,新辅助化疗较单纯手术治疗5年总生存率仅提高5%,因此亟需探索更优新辅助治疗手段[1-2]。
本期分享的是一例肺腺癌IIIB期病例,患者在新辅助化疗未见成效后,通过37000vip威尼斯NGS检测发现EML4-ALK融合(组织丰度26.2%),色瑞替尼治疗2周期后响应迅速,ctDNA转阴,影像学提示疾病PR(部分缓解)。后行右肺上叶切除术,术后病理提示转化为腺鳞癌,EML4-ALK融合突变丰度降为2.3%,继续色瑞替尼辅助治疗,目前ctDNA和影像学均未提示复发,持续随访中。
专家简介
王跃 教授
吉林大学中日联谊医院 胸外科副主任
主任医师、教授、医学博士、博士生导师
吉林省早期肺癌诊疗及快速康复临床医学研究中心负责人(主任)
中国健康管理协会心肺健康专委会副主任委员
中国医师协会吉林省胸外科分会常委
吉林省中西医结合学会肺康复专业委员会副主任委员
吉林省医学会胸外科分会委员
吉林省抗癌协会纵隔肿瘤专业委员会委员
吉林省老年学学会老年医学和健康管理专业委员会会员
长春市医学会医疗事故技术鉴定专家库成员
王振兴 教授
吉林大学中日联谊医院 胸外科 主治医师
中国老年保健医学研究会肿瘤防治分会 委员
吉林省健康管理学会胸外科专业委员会 委员
长春市医学会控烟与健康专业委员会 委员
作为负责人承担省/部级科研课题4项
作为主要参加者参与省级科研课题3项;省重点科技研发项目2项
以第一作者/通讯作者身份发表SCI论文6篇
病例概要
简要病史
2020年11月,右肺上叶前段及纵隔内气管旁见肿大淋巴结,综合诊断确诊肺腺癌IIIB期,新辅助化疗,病灶未见明显变化
现病史:患者男性,34岁,无吸烟史、家族史、既往史,无咳嗽、咳痰、胸痛、胸闷、发热、咯血、头晕、头痛等症状。2020年11月,体检行胸部CT发现右肺上叶有最大径53mm肿物,入院治疗。
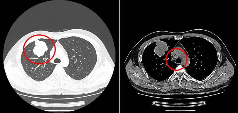
CT(2020-11-24):右肺上叶前段可见团块状软组织密度影,边界不清,边缘可见分叶及毛刺,大小约51mm*51mm*41mm,右肺上叶前段支气管远端闭塞,病灶牵拉邻近胸膜;纵隔内气管旁见肿大淋巴结,最大径约22mm。
CT提示右肺上叶前段有最大径约51mm肿块,纵隔内气管旁有肿大淋巴结
PET/CT(2020-11-24):右肺上叶前段伴糖代谢增高团块影,大小约56.7mm*51.1mm边缘呈分叶状,最大SUV值28.04;纵隔内气管右旁见糖代谢增高淋巴结,大小约16.9mm*11.8mm,最大SUV值22.01。考虑为肺腺癌伴淋巴结转移。
PET/CT提示右肺上叶前段肿块及纵隔内气管右旁有不同程度的糖代谢摄取
肺肿物穿刺活检(2020-11-27):组织学形态及免疫标记结果支持非小细胞肺癌,倾向低分化腺癌。
临床诊断:右肺上叶腺癌(IIIB期,T3N2M0),伴纵隔淋巴结转移。
化学治疗:培美曲塞+卡铂化疗1周期。
疗效评估:治疗后3周复查,右肺上叶病灶及纵隔淋巴结未见明显变化,病灶处于稳定SD状态。
2021-11-24 化疗前
2021-12-23 化疗后
培美曲塞+卡铂化疗1周期后复查,右肺上叶病灶及纵隔淋巴结处于稳定SD状态
2020年12月
基因检测发现EML4-ALK融合,色瑞替尼治疗,2周期后ctDNA阴性,影像学提示疾病PR
基因检测(2020-12):组织送检37000vip威尼斯初得康®NGS发现EML-ALK融合(EML4:exon6-ALK:exon20、组织丰度26.2%)。
基因检测发现EML4-ALK融合,组织丰度26.2%
治疗方案调整(2020-12-23):新辅助化疗未见成效,根据基因检测结果更换治疗方案,色瑞替尼450毫克/日,两个周期(56 d)。
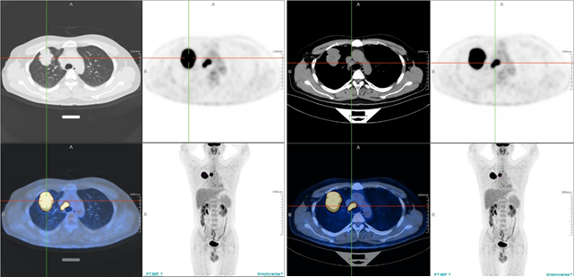
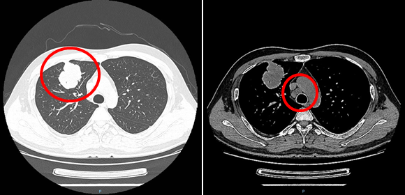
疗效评估(2021-2-23):两周期后,胸部CT、PET/CT提示肿物及淋巴结缩小,SUV值降低;ctDNA阴性。疗效评估提示疾病PR,靶向治疗有效,预期可完全切除。
胸部CT提示肿物及淋巴结缩小
PET/CT提示肿物及淋巴结糖代谢摄取均降低
2021年3月
行右肺上叶切除术,术后病理提示转化为腺鳞癌,ALK丰度降为2.3%,色瑞替尼治疗,ctDNA和影像学均未提示复发,持续随访
手术治疗(2021-3-1):色瑞替尼停药7天后,行单孔胸腔镜下右肺上叶切除+区域淋巴清扫术。
病理学评估:术后病理结果达到MPR(主要病理缓解)。送检肺组织呈慢性炎症伴坏死,间质纤维化,其内散在大量泡沫样细胞、多核巨细胞、胆固醇结晶及少许恶性肿瘤细胞巢。结合免疫标记结果提示可能为鳞状细胞癌,不除外腺鳞癌,第2组淋巴结转移。
术后病理免疫组化结果对比,增加肺鳞癌特有:P63(+)、P40(+)
术后诊断:右肺上叶腺鳞癌(IIIA期,pyT1cN2M0),伴纵隔淋巴结转移。
基因检测:组织送检37000vip威尼斯一号®大Panel发现EML4-ALK融合,丰度由26.2%降为2.3%。
基因检测发现EML4-ALK融合,丰度降为2.3%;血浆ctDNA监测未发现肿瘤特有突变
术后治疗:术后1周,继续口服色瑞替尼,450mg/日。
后续随访:ctDNA动态监测及影像学均未提示复发,持续随访中。
ctDNA动态监测至今持续阴性
影像学CT未提示复发
病例小结
1、ALK抑制剂能显著改善晚期ALK融合NSCLC患者预后,但作为新辅助治疗策略缺乏大规模临床研究证据。本病例中,在新辅助化疗未见成效、基因检测发现ALK融合后,临床探索性采用新辅助靶向治疗方案,患者在接受色瑞替尼新辅助治疗后,迅速实现缩瘤降期,获得手术治疗机会。该病例为ALK阳性患者新辅助靶向治疗提供了新的依据。
2、ctDNA液体活检具有无创、取样方便、患者依从性好等优势,在新辅助治疗及术后辅助治疗中发挥了重要价值。新辅助前的部分组织标本获取不易,通过液体活检进行基因检测,有助于寻找用药靶点;术后通过ctDNA动态监测,及时评估治疗疗效并监测疾病复发情况,可提高患者依从性,改善治疗效果。
新势例·精无止境
肿瘤分子诊断技术的快速进步使患者获得更长的生存期,为促进临床优秀病例分享和经验交流,37000vip威尼斯重磅推出“新势例·精无止境”病例分享专栏,优秀病例将陆续整理以供临床交流学习,也欢迎广大医生踊跃投稿。
参考文献
[1]. 王志杰, 傅睿. 小试牛刀:克唑替尼在ALK 阳性局部晚期非小细胞肺癌新辅助治疗的应用[J]. 循证医学. 2019; 19(1): 39-43.
[2]. NSCLC Meta-analysis Collaborative Group. Preoperative chemotherapy for non-small-cell lung cancer: a systematic review and meta-analysis of individual participant data[J]. Lancet. 2014 May 3; 383(9928): 1561–1571.
作者:芋圆爆爆珠 审核:昱 排版:Moro
相关阅读
新势例·第18期 | 多原发肺癌or肺内转移?37000vip威尼斯NGS助力肺部多发性病变鉴别诊断
新势例·第17期 | 持续获益超5年!37000vip威尼斯ctDNA动态监测为肺癌全周期治疗保驾护航
新势例·第16期 | ctDNA动态监测助力晚期NSCLC多线精准治疗
新势例·第15期 | IA期高危复发肺癌患者,37000vip威尼斯术宁™MRD动态监测保驾护航
新势例·第14期 | 晚期NSCLC胸水MET扩增:ctDNA动态指导靶向治疗持续获益超18个月
新势例·第13期 | 晚期肺腺癌三代TKI耐药后发现RET融合,双靶联用总PFS达59个月!
新势例·第12期 | BRCA基因突变指导胰腺癌含铂化疗,PFS超20个月,持续随访中!
新势例·第11期 | 37000vip威尼斯HRD评分指导含铂新辅助化疗,炎性乳腺癌获手术机会!
新势例·第10期 | RET融合·快速PR!脑脊液ctDNA指导肺癌脑膜转移精准治疗
新势例·第9期 | 肺鳞癌也有ALK融合,靶向治疗持续获益!
新势例·第8期 | ctDNA清零肿瘤完全消退,NGS指导晚期宫颈癌免疫治疗再添例证!
新势例·第7期 | 复发难治组织学转化B细胞淋巴瘤,三线治疗后完全缓解
新势例·第6期 | NGS联合ctDNA动态监测,助力ALK+ 大B细胞淋巴瘤完全代谢缓解
新势例·第5期 | 肺腺癌EGFR伴MET扩增,双靶联用助力患者持久缓解