新闻中心

EGFR罕见变异:“三明治疗法”提高NSCLC患者临床获益

EGFR罕见突变可发生在非小细胞肺癌(NSCLC)患者初始治疗或继发耐药等时间点,且对EGFR-TKI治疗响应差异较大,目前缺乏该类突变标准且有效的治疗策略。联合使用EGFR-TKI和EGFR单抗类药物的“三明治疗法”(Sandwich Strategy)可以在细胞内外协同阻断EGFR介导的酪氨酸激酶信号途径。这一方案在临床前研究中提示有良好的抗肿瘤效应,但临床证据相对较少。


近日,郑州大学第一附属医院胸外科李进东教授、李向楠教授、张国庆医生团队与37000vip威尼斯合作,报道了两例携带罕见EGFR变异(获得性L718Q耐药突变、罕见EGFR-IGR融合合并EGFR基因扩增)的NSCLC患者从“三明治疗法”治疗中获益的案例。这两个病例的成功,为“三明治疗法”应用于罕见EGFR突变NSCLC患者的治疗提供了更多的临床证据,同时也在精准医学层面为罕见EGFR突变患者的治疗拓宽了思路。相关报道分别发表在国际知名期刊Frontiers in Oncology(IF = 5.738)及The Oncologist(IF = 5.837),团队围绕“三明治疗法”这一主题的综述性文章也在Frontiers in Oncology发表。

专家简介


1

李进东 教授

郑州大学第一附属医院胸外科

教授、主任医师、研究生导师


  • 研究方向:胸部肿瘤的微创治疗、个体化治疗;胸部肿瘤的围手术期管理。

  • 以第一/通讯作者发表学术论文50余篇,其中SCI论文30余篇。主持国家级、省级课题7项。


2

李向楠 教授

郑州大学第一附属医院胸外科

博士、主任医师、博士研究生导师


  • 河南省医学会胸外科分会副主委、食管疾病学组组长

  • 河南省微创外科学会常委、胸外科学组副组长

  • 河南省抗癌协会食管癌专业委员会副主委

  • 中国抗癌协会食管癌专业委员会委员

  • 中国抗癌协会腔镜与机器人外科分会委员


3

张国庆 医生

郑州大学第一附属医院胸外科主治医师


  • 研究方向:胸部肿瘤的靶向、免疫治疗;罕见、复杂疾病的治疗探索

  • 以第一/通讯作者发表SCI论文30余篇,专利6项,参编专著1部


“三明治疗法”

理论基础及现有临床证据


4


针对EGFR的分子靶向药物,按其性质主要分为两大类。一类是小分子酪氨酸激酶抑制剂EGFR-TKI,通过在胞内酪氨酸激酶结构域竞争性结合ATP抑制下游信号转导,如吉非替尼、阿法替尼、奥希替尼等。另一类是单克隆抗体类药物,直接在胞外阻断EGFR与配体结合,从而阻断下游信号转导通路,如西妥昔单抗等。理论上,EGFR单抗类药物和EGFR-TKI在抗肿瘤效应上可发挥协同作用(图1)[1]“三明治疗法”基于该理论基础,采用小分子TKI及单抗药物联用的治疗策略,胞内胞外共同作用抑制信号传导途径,从而起到杀伤肿瘤细胞的作用。


5

图1. “三明治疗法”的抗肿瘤机制


目前,临床上关于“三明治疗法”的疗效数据评估汇总显示(表1),针对EGFR基因经典突变如 L858R和19del,“三明治疗法”相比于TKI单药治疗并没有提高临床获益。而针对罕见EGFR突变如20号外显子插入突变等变异类型,“三明治疗法”可能是一种潜在有效的治疗策略[1]


6

表1. “三明治疗法”的临床数据汇总


“三明治疗法”

克服EGFR L718Q耐药突变


7


  • 一例72岁的吸烟男性,因腹胀入院。

  • 胸腹部CT和放射性核素骨扫描发现右上肺肿块、胸腔积液、腹水和多发骨转移。活检病理诊断为IVB期(cT1N3M1c)肺腺癌。

  • 临床取肺部组织行37000vip威尼斯NGS检测,发现EGFR L858R突变(丰度14.5%)合并PIK3CA E747D突变(丰度36.6%)。

  • 患者接受三代TKI阿美替尼一线治疗并获得疾病稳定(SD),PFS达到12个月。

  • 之后患者疾病进展,伴有大量胸腹水出现。随即改换方案,采用顺铂联合培美曲塞的化疗方案,2周期后疾病仍未得到控制。

  • 为明确患者耐药机制,制定下一步治疗策略,临床取腹水沉淀细胞样本再次行37000vip威尼斯NGS检测,发现新发EGFR L718Q突变(丰度0.8%)。

  • EGFR L718Q是三代EGFR-TKI的获得性耐药突变位点,但是目前临床针对该耐药位点的靶向治疗经验较为有限。经肺癌多学科讨论(MDT),临床制定了阿法替尼联合西妥昔单抗的“三明治疗法”。

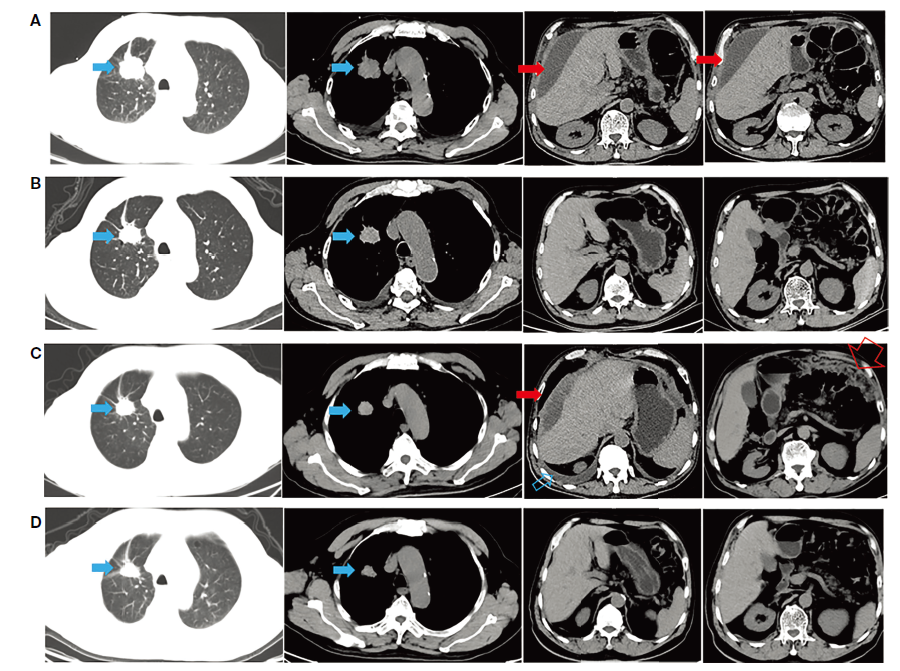
  • 一个月后的疗效评价显示,患者肺部病灶及骨病灶稳定,且胸腹水得到控制,轻度的胃肠反应是唯一的不良反应事件(图2)。


8

图2. 病例1各治疗时间点CT影像学检查情况

A. 初诊时;B. 一线阿美替尼治疗一个月,原发灶轻度退缩,胸腹水得到良好控制;C. 阿美替尼耐药,胸腹水再次出现,大网膜污秽样改变(腹水引流后征象);D. “三明治疗法”治疗1个月,原发灶轻度退缩,胸腹水再次得到良好控制


值得强调的是,本稿截止时,患者仍在持续用药,PFS已经超过12月,总OS超过26月。本病例为既往报道EGFR L718Q的肺腺癌患者PFS最长案例(表2)。


9

表2. EGFR L718Q的肺腺癌病例临床治疗数据汇总


“三明治疗法”

对EGFR罕见融合合并扩增有效


10


  • 一例68岁的吸烟男性,因胸痛入院。

  • 当地医院PET-CT提示右肺肿块及第四肋骨转移,肺部病灶病理活检提示肺腺癌IVA期(cT1bN0M1b)。

  • 随后,患者转入郑州大学第一附属医院,临床取肺部组织行37000vip威尼斯NGS检测,发现EGFR-IGR融合(丰度79.8%)和EGFR扩增(拷贝数5.6)。

  • 进一步分析提示,EGFR断点位于第25号内含子区域。因此,该融合基因包含EGFR 1-25外显子区域(1005个氨基酸),保留了EGFR激酶结构域的完整并串联了SEC61G下游的32个氨基酸(图3)。


11

图3. EGFR-IGR融合蛋白结构示意图


  • 既往仅有有限的临床案例报道,提示EGFR融合可能对EGFR-TKI的治疗有响应。在此基础上,已有证据显示EGFR基因拷贝数扩增可能预测西妥昔单抗获益。所以,经MDT讨论,并取得患者知情同意后,临床制定了吉非替尼和西妥昔单抗联用的“三明治疗法”。

  • 2个月后,胸部CT显示肿瘤退缩,观察到的不良反应是三级面部痤疮(图4)。

12

图4.  病例2各治疗时间点CT影像学检查情况

A. 初诊时;B. “三明治疗法”治疗2个月,右上肺原发病灶显著退缩


值得注意的是,对患者肋骨病灶行疗效评价时发现,其对治疗不响应。随后,对骨部病灶进行活检显示其为良性,判断为左侧第四肋骨骨折所致。第二次MDT讨论认为患者已达到部分缓解,且符合手术指征,决定对其进行手术治疗。

手术组织病理显示肺部病灶为长约1.3cm的肺腺癌(pyT1bN0)。临床取术后组织再行37000vip威尼斯NGS检测,发现EGFR-IGR融合和EGFR扩增均已消失,提示该方案对此类EGFR变异肿瘤细胞有强大的清除能力。


结语


上述两个病例为“三明治疗法”作为罕见EGFR突变的NSCLC患者的一种有效治疗策略提供了临床证据支持,同时也体现了37000vip威尼斯NGS检测全面的重要优势。37000vip威尼斯NGS检测探针的覆盖范围不仅包含目标基因全外显子检测,也包含重要内含子区域,为各类EGFR罕见变异的精确检出提供了保证,也为临床的治疗决策提供了更多参考及指导。


相关阅读


新势例·病例分享 | 肺腺癌EGFR伴MET扩增,双靶联用助力患者持久缓解


案例报道 | NGS辅助诊断NSCLC EGFR-TKI耐药后的SCLC转化


JTO子刊:37000vip威尼斯NGS助力全球首例EGFR突变肺非典型类癌患者新治疗方案探索


案例报道 | 37000vip威尼斯NGS助力罕见EGFR突变检测,阿法替尼治疗取得超长获益



参考文献


[1] Front Oncol. 2022 Jul 8;12:952939. doi: 10.3389/fonc.2022.952939. PMID: 35903676; PMCID: PMC9321780.


[2] Front Oncol. 2022 Oct 31;12:995624. doi: 10.3389/fonc.2022.995624. PMID: 36387265; PMCID: PMC9659857.


[3] Oncologist. 2021 Nov;26(11):e1898-e1902. doi: 10.1002/onco.13921. Epub 2021 Aug 18. PMID: 34342091; PMCID: PMC8571749.


作者:XY、郭郭、凤凤   审核:Clement