新闻中心

新势例 | 复发难治组织学转化B细胞淋巴瘤,三线治疗后完全缓解

江苏省人民医院徐卫教授团队采用37000vip威尼斯NGS检测技术,辅助诊断并指导治疗一例复发难治组织学转化B细胞淋巴瘤,最终帮助患者获得完全缓解。患者因右小腿出现破溃症状入院检查,确诊边缘区淋巴瘤伴EBV感染及大细胞增多症,淋巴结多发和皮下多处结节侵犯。一线二线治疗后,淋巴结完全缓解,但结外右下肢却持续进展。基线NGS检测发现,只有血浆中存在MCD亚型特征,骨髓IGHV使用片段分析提示2个克隆来源,推测结外病灶可能是MCD亚型,且没有BTK抑制剂的耐药位点。三线选择利妥昔单抗+BTK抑制剂+米托蒽醌脂质体联合治疗,3个疗程后患者结外病灶消失,达到完全缓解。

专家简介

微信图片_20220928164727

徐卫 教授

江苏省人民医院血液科

副主任、主任医师、博士生导师

  • 中国抗癌协会血液肿瘤专业委员会副主委,淋巴瘤学组组长

  • 中国老年保健协会淋巴瘤专业委员会副主委

  • 中国医药教育协会淋巴瘤分会副主委

  • CSCO中国抗淋巴瘤联盟常委

  • 中国老年医学学会血液学分会常委

  • 中国女医师协会血液专业委员会常委

  • 中国老年肿瘤学会淋巴血液肿瘤专业委员会常委

  • 中国抗癌协会淋巴瘤专业委员会委员

  • 中国病理生理学会实验血液学专业委员会委员

  • 中国医师协会整合医学医师分会整合血液病学专业委员会委员兼秘书等


病例概要


既往病史:患者男,79岁。2014年11月确诊B细胞慢性淋巴增殖性疾病(B-LPD),伴溶血性贫血,给予利妥昔单抗+激素3周期治疗,贫血改善,患者依从性差,未继续治疗。后期随访中出现血红蛋白下降情况时,自行口服Pred+CTX,血红蛋白大致维持在95-120g/L。



一线治疗R-miniCHOP

结外右下肢进展


入院情况(2022-01):右小腿原破溃处出现多处红色肿块,突出于皮肤表面,呈蔓延趋势;面部双侧太阳穴处、双侧耳后、双侧锁骨上有淋巴结肿大,呈增大趋势。

PET-CT检查(2022-02-28):头面部及颌面部多发软组织肿块影,FDG代谢异常增高;体部、双侧上肢及右侧下肢皮下多发软组织结节、肿块(SUVmax=12.6),FDG代谢异常增高;双侧乳腺多发结节样FDG代谢增高灶,FDG代谢异常增高(SUVmax=6.3);双侧颈部、双侧腋窝、肝左叶前方、腹主动脉旁、双侧髂血管旁及双侧腹股沟多枚肿大淋巴结影,FDG代谢异常增高;大网膜增厚,内见多发软组织结节影(SUVmax=14.8),FDG代谢增高。


微信图片_20220928164733

图1. PET-CT提示患者淋巴结多发和皮下多处结节侵犯,考虑淋巴瘤多发浸润


血常规:网织红细胞3.85%(偏高)。

直接Coombs试验:阳性(+++)。

生化:乳酸脱菌酶(LDH)332 U/L(偏高)。

EBV-DNA:阴性。

骨髓常规+形态:阴性。

染色体:46 XY[20],正常核型。

骨髓流式:CD5-、CD10-成熟小B细胞淋巴瘤。

骨髓FISH:P53/CCND1/CLL全套阴性。

骨髓IGH重排:阳性。

淋巴结染色:大量成熟淋巴细胞及少量异常细胞,该异常细胞成堆出现,胞体较大,考虑为淋巴瘤细胞。


微信图片_20220928164738

图2. 颈部淋巴结染色印片提示胞体较大的异常细胞为淋巴瘤细胞


穿刺样本流式:淋巴细胞占91.5%,其中异常单克隆B淋巴细胞占14.6%,提示CD5-、CD10-的单克隆B淋巴细胞增多症。

免疫组化:CD20(+),Pax-5(+),CD3 (-) ,CD5(-) ,CD21(+),CD23(残存FDC+),CD10(-) ,Bcl-6(-),CD30(免疫母细胞+),MUM1(+) ,Bcl-2(+),Cyclin D1(-) ,SOX11(-) ,CD38(+) ,Ki67(约40%),原位杂交EBER(散+),C-myc(25%+),LEF-1(-),PD-1(-)。

分子检测:IG基因重排克隆性检测结果为阳性,TCR基因重排克隆性检测结果为阴性。

病理诊断:边缘区淋巴瘤伴EBV感染及大细胞增多症(IV期B组,IPI 4分,ECOG 1分)。

一线治疗:R-miniCHOP治疗。

定期随访:全腹部增强CT(2022-04-22)提示全身淋巴结较前明显缩小,结外右下肢疾病进展。


微信图片_20220928164744

图3. 全腹部增强CT提示全身淋巴结较前明显缩小,结外右下肢疾病进展



二线治疗R2+GemOx+PD-1单抗

结外右下肢持续进展


临床诊断:免疫组化结果【 原位杂交EBER(散+)】提示,EBER在大细胞和小细胞中散在阳性,考虑EBV感染与Richer转化密切相关。

二线治疗:R2+GemOx+PD-1单抗(研究报道EBV感染相关疾病使用PD-1单抗治疗效果较好)。

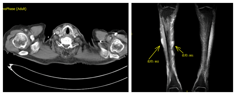
定期随访:结外右下肢持续进展。


微信图片_20220928164748

图4. 二线治疗后,结外右下肢持续进展



三线治疗

利妥昔单抗+BTK抑制剂+米托蒽醌

达到完全缓解


基线淋巴结穿刺组织+血浆NGS检测:仅在血浆中检测到MCD亚型特征(MYD88L265P、 CD79B、PIM1),提示结外病灶可能是MCD亚型。


微信图片_20220928164751

图5. 血浆NGS检测到MCD亚型特征,提示结外病灶可能是MCD亚型


骨髓IGHV使用片段分析:推测淋巴结、结外病灶来源可能不同。


微信图片_20220928164754

图6. 骨髓IGHV使用片段分析,推测淋巴结、结外病灶来源可能不同


研究报道:MCD亚型使用BTK抑制剂疗效较好;CARD11基因突变对BTK抑制剂效果不佳。该病例中,NGS检测出CARD11L354P非耐药位点。


微信图片_20220928164757

图7. BTK抑制剂治疗效果不佳的CARD11基因位点


三线治疗:利妥昔单抗700mg d0、米托蒽醌脂质体(在R/R PTCL/NKT皮肤受累的患者中效果较好)20mg d1、泽布替尼(BTK抑制剂)160mg po q12h。

定期随访:PTE-CT(2022-08-13)提示病灶消失,达到完全缓解。


微信图片_20220928164800

图8. PET-CT(2022-08-13 vs 2022-02-25)提示病灶消失,达到完全缓解


总结


这是一个非常具有代表性的组织学转化病例。患者病史较久,病情反复,最后通过血浆NGS检测提示淋巴结和结外病灶来源不同,及时调整治疗方案后,取得了很好的疗效。临床中,NGS可指导淋巴瘤的诊断和治疗,建议尽量完善组织、外周血匹配标本,以便后续随访监测,提示疗效。

肿瘤分子诊断技术的快速进步使患者获得更长的生存期,为促进临床优秀病例分享和经验交流,37000vip威尼斯重磅推出“新势例·精无止境”病例分享专栏,优秀病例将陆续整理以供临床交流学习,也欢迎广大医生踊跃投稿。


相关阅读


新势例·病例分享第1期 | NGS助力晚期肺腺癌患者长生存超4年


新势例·病例分享第2期 | 肺腺癌脑转移患者辅助治疗获益超21个月


新势例·病例分享第3期 | NGS发现耐药后罕见靶点,“夹心方案”延长晚期肺癌患者生存期


新势例·病例分享第5期 | 肺腺癌EGFR伴MET扩增,双靶联用助力患者持久缓解


新势例·病例分享第6期 | NGS联合ctDNA动态监测,助力ALK+ 大B细胞淋巴瘤完全代谢缓解



作者:芋圆爆爆珠   审核:筠翡   排版:Moro