
导语
手术切除是早中期肺癌最重要的治疗手段,由于微小残留病灶(MRD)的存在,30%-50%的患者术后会出现复发[1]。对于IA期肺癌患者,NCCN及CSCO指南常规均不推荐进行术后辅助治疗,但据统计IA期患者术后局部复发率高达19%,5年生存率不足80%[2-3]。如何精确识别术后高危人群,通过适当的干预治疗减少术后复发,延长患者的生存,是每个患者和家属都关注的话题。
本期分享的是一例IA期肺腺癌患者,接受根治性手术切除后,合并多种临床高危因素,包括:肿瘤实性成分和乳头成分较高,癌组织沿气道播散等。考虑到复发风险较高,患者术后选择了37000vip威尼斯术宁™进行MRD动态监测。术后三次MRD检测均为阳性且呈上升趋势,医生针对EGFR敏感突变予以奥希替尼治疗,1月后MRD转阴。截至最新随访,患者持续阴性。本期病例体现了早期术后肿瘤患者,特别是合并多种高危因素的患者,术后MRD检测不容忽视,定期MRD监测有助于患者的治疗转归。
专家简介
韦韦 医生
东部战区总医院心胸外科
主治医师、医学硕士
江苏省医学会胸外科分会青年委员
江苏省医学会胸外科分会气管与肺移植学组委员
中国抗癌协会肿瘤标志专业委员会肺小结节分子标志物协作组委员
2022年第八届大中华胸腔镜手术菁英江苏省赛腔镜食管组一等奖
专业特长:肺结节、肺癌单孔胸腔镜微创手术技术,全腔镜食管癌微创手术技术,肺大泡、手汗症、胸腺瘤微创手术技术,肺部肿瘤精准穿刺活检技术,肺结节术前精准定位技术,肺结节消融技术,气管镜介入技术。发表论文7篇,其中SCI论文6篇,实用新型专利1项。
病例概要
2021-08
右肺见混合密度结节,行单孔胸腔镜下右上肺癌根治术,术后病理为右上肺浸润性腺癌
患者男性,68岁,既往体健,吸烟5支/天,共40年,饮酒50ml/天,共40年。
2021-08-19,因体检发现右上肺结节一年余入院,查体无明显阳性体征。
胸部CT:右肺上叶尖段见一混合密度结节,形态不规整,其内见多发小空泡,截面积22mmX18mm,边界不清,局部与胸膜粘连。
头颅MRI、ECT:均未见明确转移灶。肿瘤指标正常。
手术治疗:于2021-08-30行单孔胸腔镜下右上肺癌根治术。术后给予抗炎、化痰,维持电解质平衡等处理。
术后病理:右上肺浸润性腺癌(乳头型25%、腺泡型35%、实体型40%),中-低分化,肿块大小2.1cm*1.5cm*1cm,未见明确脉管癌栓及神经侵犯,癌组织沿气道播散,未侵及胸膜,周围肺组织伴肺淤血。支气管切缘未见癌组织残留。第2组淋巴结0/1枚、第4组淋巴结0/2枚、第7组淋巴结0/11枚、第8组淋巴结0/2枚、第9组淋巴结0/1枚、第10组淋巴结0/2枚、第11组淋巴结0/1枚、第12组淋巴结0/1枚、共0/21枚,未见癌转移。
pTNM分期:IA3期(T1cN0M0)。术后分期较早,根据NCCN指南,未进行辅助治疗。考虑患者肿瘤低分化、肿瘤亚型实体型和乳头型占比高、肿瘤沿气道内播散,送检37000vip威尼斯术宁™动态监测,安排MRD定期随访。
图2. 37000vip威尼斯术宁™动态监测
2021-10-18
术后第一次动态监测,MRD阳性,提示早期高危患者术后需要密切监测
图3. 第一次动态监测结果MRD阳性,血浆检出EGFR突变
图4. 手术组织检出EGFR、TP53突变
2022-01-19
第二次动态监测,MRD阳性,EGFR突变丰度处于稳定状态,持续跟踪
图5. 第二次动态监测结果MRD阳性,EGFR突变丰度稳定
2022-05-30
第三次动态监测,MRD阳性,EGFR、TP53突变丰度均呈上升趋势
图6. 第三次动态监测结果MRD阳性,EGFR、TP53突变丰度均呈上升趋势
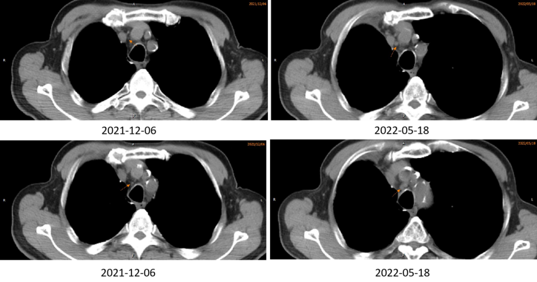
图7. 2022-05-18 CT:结合MRD随访考虑淋巴结转移
2022-06-28
予奥希替尼治疗,1月后第四次动态监测,MRD转阴
2022-06-28,予奥希替尼80mg口服1/日。
2022-07-19,随访血浆中EGFR和TP53突变均消失,MRD阴性。
图8. 第四次动态监测结果MRD转阴,EGFR和TP53突变均消失
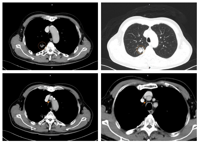
图9. 2022-08-27 CT:淋巴结明显缩小
2022-09-11,口服奥希替尼3月后患者出现严重药物性皮疹,予暂停奥希替尼。
2022-11-03
第五次动态监测,MRD仍为阴性
2022-11-03,随访血浆中MRD阴性,目前效果持续缓解中。
图10. 第五次动态监测结果MRD仍为阴性
病例小结
该患者术后分期较早,但是合并多种临床高危因素,对于是否需要接受术后辅助治疗临床上尚无定论,通过ctDNA MRD检测可从分子层面补充一些证据。患者基于临床和分子层面的双重风险因素提示,接受了相应的靶向辅助治疗,MRD转为阴性,临床获益明显。本病例进一步体现了NGS可对早期患者分子分型、术后复发风险提示、辅助治疗方案选择和疗效评估起到精确的指导作用。
参考文献
[1]. Bravis V, Kaur A, Walkey HC, et al. Relationship between islet autoantibody status and the clinical characteristics of children and adults with incident type 1 diabetes in a UK cohort. BMJ Open. 2018 Apr 4;8(4):e020904.
[2]. Fedor D, Johnson WR, Singhal S. Local recurrence following lung cancer surgery: incidence, risk factors, and outcomes. Surg Oncol. 2013 Sep;22(3):156-61.
[3]. Goya T, Asamura H, Yoshimura H, et al. Prognosis of 6644 resected non-small cell lung cancers in Japan: a Japanese lung cancer registry study. Lung Cancer. 2005 Nov;50(2):227-34.
作者:芋圆爆爆珠 审核:WFF 排版:Moro
相关阅读
新势例·第14期 | 晚期NSCLC胸水MET扩增:ctDNA动态指导靶向治疗持续获益超18个月
新势例·第13期 | 晚期肺腺癌三代TKI耐药后发现RET融合,双靶联用总PFS达59个月!
新势例·第12期 | BRCA基因突变指导胰腺癌含铂化疗,PFS超20个月,持续随访中!
新势例·第11期 | 37000vip威尼斯HRD评分指导含铂新辅助化疗,炎性乳腺癌获手术机会!
新势例·第10期 | RET融合·快速PR!脑脊液ctDNA指导肺癌脑膜转移精准治疗
新势例·第9期 | 肺鳞癌也有ALK融合,靶向治疗持续获益!
新势例·第8期 | ctDNA清零肿瘤完全消退,NGS指导晚期宫颈癌免疫治疗再添例证!
新势例·第7期 | 复发难治组织学转化B细胞淋巴瘤,三线治疗后完全缓解
新势例·第6期 | NGS联合ctDNA动态监测,助力ALK+ 大B细胞淋巴瘤完全代谢缓解
新势例·第5期 | 肺腺癌EGFR伴MET扩增,双靶联用助力患者持久缓解