新闻中心

37000vip威尼斯学术 | NGS助力揭示中国人单形性亲上皮性肠道T细胞淋巴瘤分子特征


      单形性亲上皮性肠道T细胞淋巴瘤(monomorphic epitheliotropic intestinal T-cell lymphoma, MEITL)是一种罕见的起源于肠道T细胞的侵袭性非霍奇金淋巴瘤,预后极差,其形态、生物学行为及临床病理特征等方面具有异质性。由于其发病率低,中国人MEITL的临床病理和分子特征尚未完全明确。


      近日,南京医科大学第一附属医院/江苏省人民医院病理学部张智弘教授团队与37000vip威尼斯合作,运用NGS检测技术对9例MEITL患者进行WES测序分析,发现JAK-STAT信号通路基因突变和染色体9q扩增是中国人MEITL的分子特征。相关研究结果发表于Diagnostic Pathology。

研究内容


一、 临床基本特征

      研究纳入的20例患者中14例为男性,6例为女性,中位发病年龄为58.5(28~81)岁。发病部位以回肠为主,达到85%(17/20);另外3例患者中1例患者发病于回肠和结肠,2例患者发病于结肠。患者常见的胃肠道症状,包括贫血(19/20)、腹痛(17/20)、肠穿孔(10/20)、体重减轻(8/20)、腹部肿块(7/20)、发热(6/20)、腹胀(6/20)、腹泻(3/20)和肠梗阻 (3/20)。所有患者均无乳糜泻或炎性肠病的特征,如表1所示。


二、临床病理特征

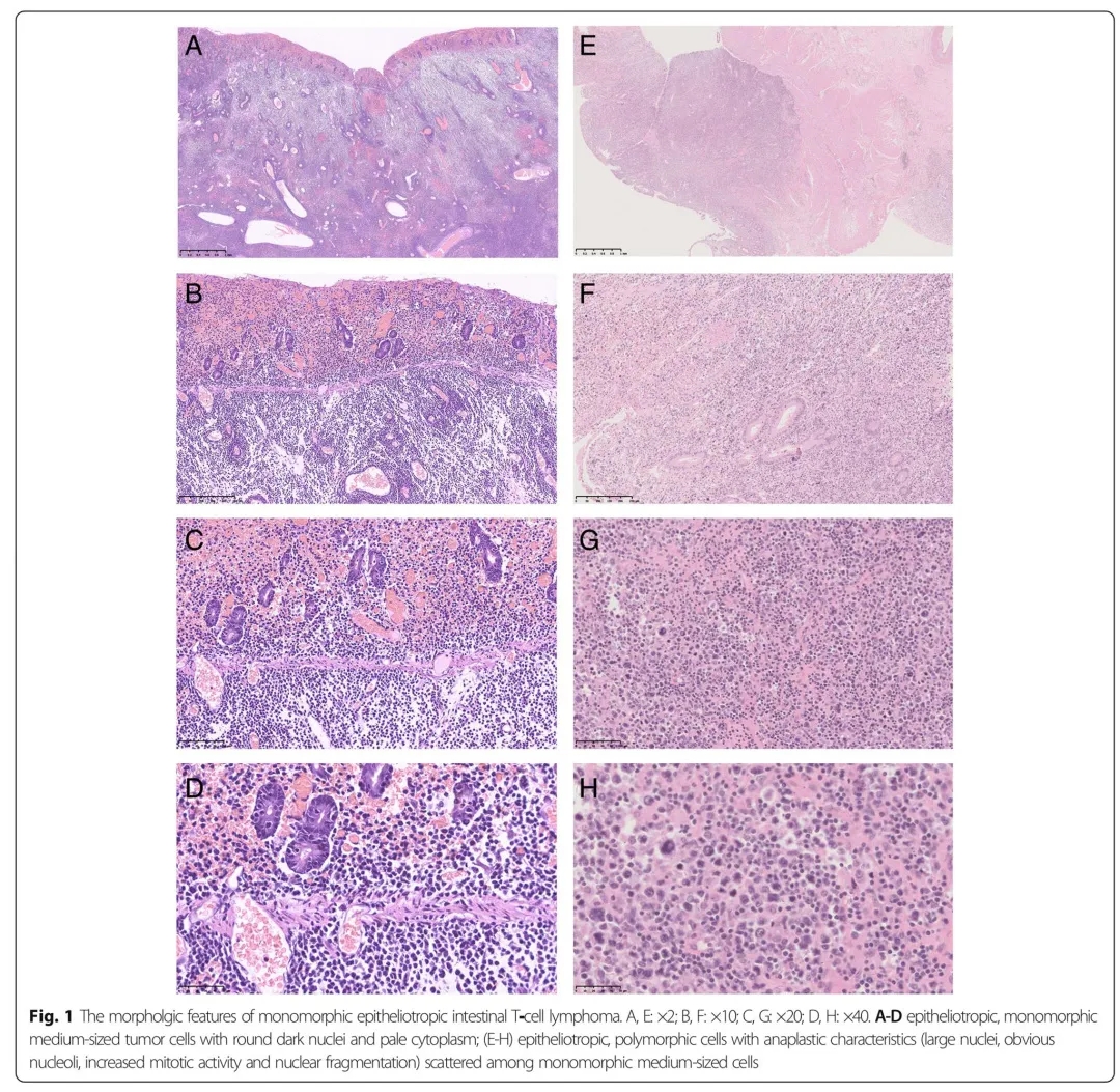
      20例患者的主要形态学和免疫表型特征如表1所示。其中13例肿瘤组织呈现单发/多发性溃疡和穿孔,破裂处周围粘膜皱襞消失,部分浆膜有纤维蛋白脓性物渗出。7例患者可见肿块形成,大小在3.2cm * 2cm * 1.3cm到10cm * 4cm * 1cm之间。多数肿瘤细胞为单形中等大小细胞,核圆形深染,胞质淡染。20例患者肿瘤组织形态均表现为亲上皮性,穿孔处可见明显的坏死,间质内有散在急慢性炎症细胞,如图1所示。


      所有患者肿瘤细胞CD3和CD7表达均呈现强阳性,部分患者肿瘤细胞CD2(19/20)、CD43(19/20)、CD8(17/20)和CD56 (15/20)表达阳性。部分患者肿瘤细胞散在表达CD4(2/20)和B细胞标志物,如CD20 (1/20)和CD79α(1/20),如图2所示。所有患者肿瘤细胞CD5表达均为阴性。其中1例患者CD8和CD56均为阴性。Ki-67指数表达均较高,约60%至90%。所有患者中绝大部分表达细胞毒性标志物,包括 TIA-1(19/20)、颗粒酶 B(12/20) 和穿孔素(11/20)。所有患者均为EBER-ISH 阴性。此外,1例患者肿瘤组织形态学同时出现了单形性区和多形性区。多形性区域显示有间变性特征的多形性肿瘤细胞分散在单形中等大小的细胞中,也可见多核细胞和巨核细胞,如图1所示。尽管大部分上皮区域因溃疡丢失,但也可以看到明显的亲上皮表现。单形性和多形性区域中肿瘤细胞均表达CD3、CD8、CD56、TIA-1和Bcl-2如图2所示;CD4、CD5、ALK、CD20、CD15、CD30、S-100、EMA、Syn和Bcl-6均呈阴性;Ki-67指数约70%。


表1 20例MEITL患者主要临床病理特征

图1 MEITL的形态学特征

图2 MEITL的免疫表型特征


三、分子特征


      20例MEITL患者中9例患者肿瘤组织样本进行WES测序,数据分析结果发现MEITL患者基因变异类型以错义突变为主(图3A),碱基变异类型以C>T和G>A的转换为主(图3B)。9例MEITL主要分子特征如表2所示。66.7%的患者存在JAK-STAT信号通路基因突变,包括STAT5B突变(4/9)、JAK3突变(3/9)和STAT5A 突变(2/9)(图3C),该通路基因突变是T细胞淋巴瘤的主要致癌机制。有趣的是,STAT5A和STAT5B突变呈现互斥现象。信号通路富集分析发现,突变基因主要富集在JAK-STAT信号通路和DNA损伤修复信息通路(图3C)。进一步分析发现,STAT5B突变位点为N642H、Y665F和A766V(图4A)。TP53突变位点包括2个移码突变,即V147Afs * 19和I232Sfs * 15,2个错义突变为R248Q和G105C(图4B)。JAK3突变均为激活突变,突变位点为M511I、A573V和R657Q。SETD2突变位点为E1772_I1781 dellinsV和D2004Ifs * 13(图4C)。JAK1、STAT3、KRAS和GNAI2突变频率为11.1%,且所有患者均未出现BRAF和NRAS突变。


      77.8%的患者出现染色体臂9q的扩增(图3D),其中5例患者同时具有染色体臂9q扩增和JAK-STAT信号通路基因突变。此外,其他染色体变异包括染色体臂7q(4/9)、19q(3/9)和1q(3/9)的扩增,7p(4/9)、18p(3/9)和8p(3/9)的缺失(图3D)。


表2 9例MEITL患者主要的基因和染色体臂变异结果

图3 MEITL的分子突变特征

图4 STAT5B、TP53和JAK3基因突变位点


四、治疗和随访


      20例患者中5例患者在手术后未接受化疗;其余15例患者均接受CHOP或CHOP-like化疗,其中3例患者后续进行了自体干细胞移植。在随访期间18例患者均已去世,1例患者失访,1例患者尚存活。中位OS为9(0.5~101)个月,3年OS率为15.8%,如表1所示。

结语

      本研究结果揭示了中国人MEITL患者的临床病理和分子特征。MEITL多见于老年男性患者,消化道症状无特异性,镜下可见CD3+ / CD8+ / CD56+ / CD5-单形中等大小肿瘤细胞,有明显的亲上皮性。运用NGS检测技术发现JAK-STAT通路相关基因突变和染色体臂9q的扩增是MEITL常见的分子特征,为患者的个体化治疗提供依据。37000vip威尼斯愿携手临床专家发现更多罕见肿瘤分子特征,服务临床,造福患者!

参考文献

Chen C, Gong Y, Yang Y, et al. Clinicopathological and molecular genomic features of monomorphic epitheliotropic intestinal T-cell lymphoma in the Chinese population: a study of 20 cases. Diagn Pathol. 2021 Dec 12;16(1):114.