新闻中心

新势例·病例分享第8期 | ctDNA清零肿瘤完全消退,NGS指导晚期宫颈癌免疫治疗再添例证!

宫颈癌是常见的妇科肿瘤之一,发病率在我国女性恶性肿瘤中居第二位。2021年KEYNOTE-826研究结果发现,在一线治疗的PD-L1阳性宫颈癌患者中,免疫联合化疗±贝伐珠单抗组将患者死亡风险降低了36%[1],显著延长总生存时间和无进展生存时间,基于此,FDA批准了免疫+化疗±贝伐珠单抗用于PD-L1阳性【综合阳性评分(CPS)≥1】复发或转移性宫颈癌的一线治疗。

本期分享的是一例IVB期宫颈鳞癌病例,该患者NGS检测TMB-H,免疫组化检测PD-L1阳性,基于检测结果选择同步放化疗联合免疫治疗,最终动态监测显示ctDNA清零,取得较满意的临床效果。

专家简介

5

杨勇琴 教授

江苏省肿瘤医院放疗科 副主任医师

  • 中国优生优育协会妇科肿瘤专业委员会委员

  • 江苏省免疫学会转化医学分会委员

  • 长期从事妇科恶性肿瘤放疗化疗及综合治疗

  • 精通宫颈癌、子宫内膜癌、阴道癌的体外照射及三维近距离治疗技术


6

武雅琴 教授

江苏省肿瘤医院放疗科 副主任医师

  • 江苏省抗癌学会妇瘤专业委员会青年委员

  • 研究方向为妇科恶性肿瘤的放射治疗

  • 主持多项省级和国家级课题

  • 多次获得江苏省妇幼健康新技术引进奖

  • 以第一作者和共同第一作者发表SCI论文十余篇


病例概要


初诊情况


患者女,40岁,汉族。既往史、个人史、家族史无特殊。

入院主诉:接触性阴道出血3月余。

妇科检查:外阴:已婚式;阴道:畅,前壁累及阴道下1/3,后壁累及阴道中段;宫颈巨大肿块,宫旁;两侧增厚达盆,左侧显著。

初诊诊断:宫颈鳞癌ⅢB期(FIGO2018分期)。



2022年2月

确诊宫颈鳞癌IVB期伴骨转移


患者经过免疫组化病理检查、妇科检查、影像学CT/MRI/PET-CT检查,结合整体检查结果,最终修正诊断,确诊为宫颈鳞癌IVB期伴骨转移(FIGO2018分期)。检查结果如下:

免疫组化:AE1/AE3(+);CK5/6(+);P40(+);CK7(-);Syn(-);CD56(-);Ki-67(+80%);P16(+);PD-L1(+,CPS:5);S100(-);HMB45(-),诊断结果为宫颈鳞癌II级。


7

图1. 免疫组化诊断为宫颈鳞癌II级


肿瘤标志物检测:CA19-9异常。


8

图2. 肿瘤标志物检测显示CA19-9偏高


CT检查:发现宫颈巨大肿块,长径7.5公分。


9

图3. CT结果发现宫颈巨大肿块


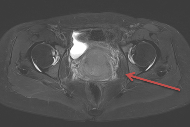
MRI检查:宫颈明显增大,呈软组织肿块影,T1W1呈低信号,T2W1-FS呈稍高信号,DW1序列呈高信号,ADC图呈低信号,增强后不均匀强化,601/IM6示较大截面范围约7.43*5.42cm,符合宫颈癌征象,病灶向上累及宫体下段,向下累及阴道上中段及穹隆,膀胱后壁、直肠前壁、两侧宫旁拟受侵犯可能,两侧盆壁、髂血管旁多发肿大淋巴结;右侧耻骨转移。盆腔内少量积液,右侧附件暂拟生理性改变。


10

图4. MRI结果提示宫颈明显增大,符合宫颈癌征象


PET-CT检查:

1、宫颈见软组织块,FDG代谢增高,考虑宫颈癌可能大,伴阴道及子宫下段受侵犯可能,直肠受侵犯待排。

2、右侧趾骨下支近趾骨联合见骨质破坏,FDG代谢增高,考虑骨转移可能。

3、胸膜后,两侧髂血管周围,两侧盆壁,见多发大小不等淋巴结,FDG代谢增高,考虑淋巴结转移可能大。


11

图5. PET-CT结果:多处见转移可能



NGS提示TMB-H,免疫组化PD-L1阳性

选择同步放化疗+免疫治疗方案


37000vip威尼斯NGS检测:PIK3CA基因多个变异,E453K、E542K和E545K,均为明确的驱动变异;MSI检测为微卫星稳定;TMB检测组织和血浆肿瘤突变负荷较高,分别为10.3 muts/Mb和14.4 muts/Mb,肿瘤患者中排名前20%,是免疫治疗优势人群;同时发现免疫治疗疗效相关基因PBRM1突变,有报道提示免疫疗效较好。


循证医学证据


指南推荐:基于PIK3CA的用药推荐在宫颈癌级别较低(C或D级),暂时不考虑靶向治疗。

基于KEYNOTE-158临床研究(TMB探索部分):FDA批准帕博利珠单抗用于TMB≥10突变/Mb患者治疗,且不限癌种。在宫颈癌患者中,TMB-H vs TMB-L ORR对比:31.3% vs 12.1%。

NGS检测:结果提示TMB-H。

12
13

图6. NGS检测结果提示TMB-H


循证医学证据


1、基于KEYNOTE-158临床研究(宫颈癌部分):FDA批准帕博利珠单抗用于宫颈癌PD-L1表达阳性患者二线治疗。

2、基于KEYNOTE-826临床研究:FDA批准帕博利珠单抗+化疗±贝伐珠单抗用于PD-L1表达阳性的复发或转移性宫颈癌一线治疗。


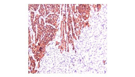
镜下所见:

14

图7. PD-L1检测结果显示阳性


结果判读:

PD-L1表达阳性,CPS≥1(CPS=15)。


治疗方案

同步放化疗联合免疫治疗


2022年3月1日:白蛋白紫杉醇300mgd1+奈达铂120mgd1第一周期同步化疗。

2022年3月3日:行盆腹腔体外强照射,PTV1:45.0GY/25次;盆腔肿大淋巴结PGTV1:55GY/25次。

2022年4月7日:盆腔强调加量PCTV2:3.8Gy/2次。

2022年4月12日:腔内联合组织间插植近距离治疗,HRCTV D9028Gy/4次。

2022年4月27日:左侧宫旁强加量DT6Gy/3次。

2022年5月9日、5月30日、6月20日、7月11日、8月1日:信迪利单抗200mg免疫治疗5次。

2022年5月10日、5月31日、6月21日、7月12日、8月2日:白蛋白紫杉醇300mgd1+顺铂50mgd1-2化疗5次。



2022年6月-8月

ctDNA动态监测提示患者治疗获益


妇科检查:外阴:已婚式,阴道:伸展欠佳;宫颈:萎缩,质稍硬;宫旁:左侧增厚。

肿瘤标志物:结果全部正常。


15

图8. 肿瘤标志物检查结果各项指标显示正常


ctDNA动态监测(2022年6月26日):患者首次血浆ctDNA检测时,发现16个基因变异,6月份,再次行血浆ctDNA检测,结果显示为阴性,提示患者接受同步放化疗联合免疫治疗后ctDNA清零,提示肿瘤控制较好,建议维持目前的治疗方案。


16

图9. ctDNA动态监测结果转阴


CT影像学检查(2022年8月1日):肿瘤完全消退,转移性淋巴结明显缩小。


17

图10. CT结果显示肿瘤完全消退


病例小结


1、对于局部晚期宫颈癌同步放化疗结合免疫治疗可获得较满意的临床效果。

2、NGS检测揭示患者的突变全貌,更全面和科学地指导患者的治疗方案选择,助力临床决策。

3、基于ctDNA的动态监测可追踪患者接受治疗的疗效变化,有助于及时地变更治疗方案。


讨论环节


该病例确诊为IVB期宫颈鳞癌,指南推荐系统治疗。该病例的亮点是通过NGS检测全面揭示患者的突变情况,选择免疫联合化疗方案后,通过ctDNA动态监测评估治疗疗效,提示患者治疗获益,专家们就此也展开了热烈讨论:

NGS检测可以指导治疗,ctDNA动态监测可以提示患者治疗疗效,但ctDNA阳性是否可以采取进一步的治疗方案,这是未来需要临床医生探索的问题。

宫颈癌早期可采取手术,对于晚期宫颈癌,指南推荐在一线治疗失败后,首选帕博利珠单抗用于PD-L1阳性患者的二线治疗,而基于KEYNOTE-826结果将免疫联合化疗治疗方案提至一线,发现越早治疗疗效越好,而且联合用药效果更加显著。

该病例基于基因检测和免疫组化结果,免疫治疗生物标志物呈阳性,选择免疫联合化疗方案,通过ctDNA动态监测疗效,使得精准治疗获益最大化。

ctDNA液体活检作为组织活检的有效补充,相比肿瘤标志物CA125更早提示肿瘤复发、进展及转移,有效评估预后及疗效,对临床具有重要指导意义。


结语


肿瘤分子诊断技术的快速进步使患者获得更长的生存期,为促进临床优秀病例分享和经验交流,37000vip威尼斯重磅推出“新势例·精无止境”病例分享专栏,将陆续整理优秀病例以供临床交流学习,也欢迎广大医生踊跃投稿。


参考文献


[1] N Engl J Med 2021; 385:1856-1867



相关阅读


新势例·病例分享第1期 | NGS助力晚期肺腺癌患者长生存超4年

新势例·病例分享第2期 | 肺腺癌脑转移患者辅助治疗获益超21个月

新势例·病例分享第3期 | NGS发现耐药后罕见靶点,“夹心方案”延长晚期肺癌患者生存期

新势例·病例分享第5期 | 肺腺癌EGFR伴MET扩增,双靶联用助力患者持久缓解

新势例·病例分享第6期 | NGS联合ctDNA动态监测,助力ALK+ 大B细胞淋巴瘤完全代谢缓解

新势例·病例分享第7期 | 复发难治组织学转化B细胞淋巴瘤,三线治疗后完全缓解